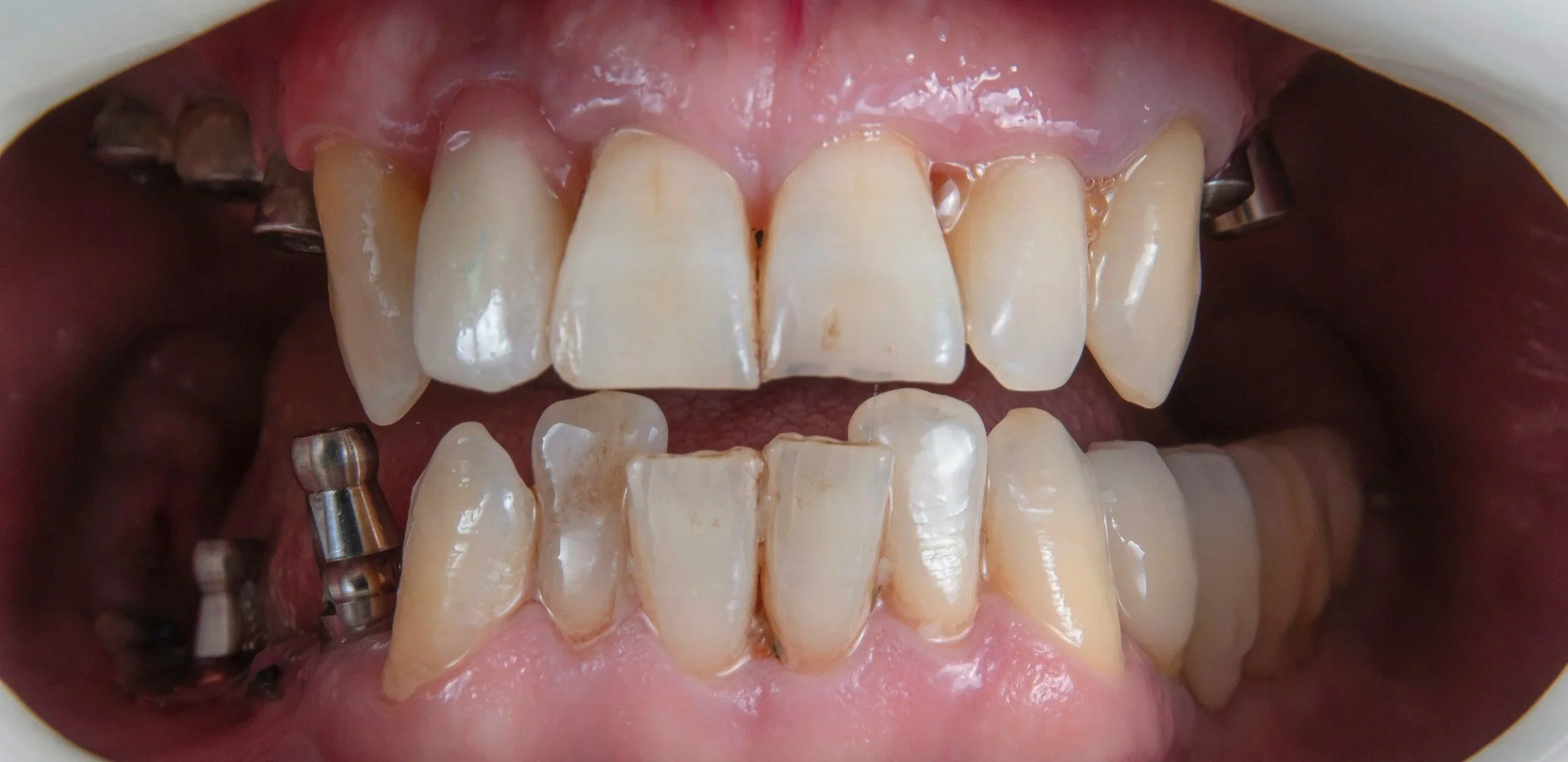
Close-up of a mouth showing upper and lower teeth, some are chipped or broken, and dental implants or screws are visible on the upper left and lower left sides. missing teeth

Understanding Missing Teeth
Missing a tooth can affect more than just your smile—it can make eating, speaking, and even your confidence more difficult. It’s a common issue, and the good news is there are ways to restore both function and appearance.

Why It Happens
Teeth can be lost due to decay, gum disease, injury, or sometimes congenital reasons. Missing teeth can also lead to shifting of the remaining teeth and changes in your bite if left untreated.

How We Can Help
I work with patients to find the right solution for their situation, including:

  • Dental implants to replace missing teeth with a natural feel and look

  • Bridges to fill gaps and restore function

  • Dentures for multiple missing teeth or full-arch solutions

The Key Message
Missing a tooth doesn’t have to hold you back. With the right treatment, we can restore your smile, confidence, and oral health in a way that works for you. I’ll guide you every step of the way to make the process comfortable and stress-free.

Replace those Teeth Now